
At our office you'll always find friendly, professional staff that will go out of their way to ensure your visit to the dentist is a happy one!

Any time you need us, whether it's an emergency or a cleaning, we are just a phone call away.

Here at Gillis Family Dentistry our team will go above and beyond to make sure you feel comfortable and welcomed during your visit.

The teeth in this photo are being prepared for a dental crown.

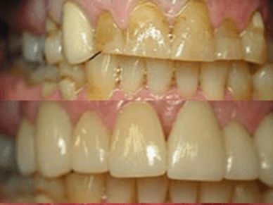
Teeth cleaning and whitening to make that smile shine.

Cosmetic repair on a tooth that had been chipped.

FastBraces® results on an open bite smile.

FastBraces® results on underbite in just 117 days.

FastBraces® results in just 92 days.
1108 East Ohio Street, Clinton, Missouri 64735, United States
Office Phone : 660.885.6933 FAX Number : 660.885.6935
Open today | 08:00 am – 06:00 pm |
We use cookies to analyze website traffic and optimize your website experience. By accepting our use of cookies, your data will be aggregated with all other user data.